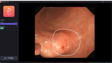
[동양일보 도복희 기자]식품의약품안전처(처장 오유경)는 ㈜웨이센에서 개발한 ‘위암영상검출·진단보조소프트웨어’(제품명: ‘WAYMED endo ST CS’)가 37호 혁신의료기기로 지정했다.<사진>
이 제품은 위암을 적응증으로 하는 국내 첫 제품으로 딥러닝 기술이 적용된 인공지능 기술로 위 내시경 영상을 실시간으로 분석해 위암을 진단보조하는 기술혁신성 등을 인정받았다. 혁신의료기기 지정으로 위암에 대한 진단보조 소프트웨어 시장의 확대를 이끌 것으로 예상된다.
식약처는 현재까지 총 37개 제품을 혁신의료기기로 지정했다.
도복희 기자 phusys2008@dynews.co.kr
동양일보TV

